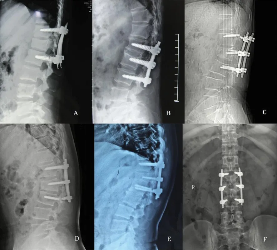
Medical breakthroughs and new materials are often used in orthopedic surgery to help patients do better. Using HA (Hydroxyapatite) covered Break Thru Poly Axial Screws is one example of an improvement. These HA Coated Poly Axial Screws are better than regular screws in several ways, which makes them a valuable addition to spinal implant surgery. […]

